Follicular lymphoma is a type of slow-growing blood cancer affecting B-cells. Learn about its symptoms, causes, diagnosis, treatment, and prognosis.
CAR T-Cell Treatment
CAR T-cell therapy is a revolutionary cancer treatment using engineered T-cells to target and destroy cancer cells.
Macrophage
Macrophages are essential immune cells that engulf and digest foreign particles, playing a crucial role in inflammation and tissue repair. They are found throughout the body and are involved in various diseases, including infections and cancer.

Chronic Myeloid Leukemia Treatment Strategies
Chronic Myeloid Leukemia Treatment: TKIs are the main therapy, targeting the BCR::ABL1 gene. Chemotherapy & stem cell transplant are also used.

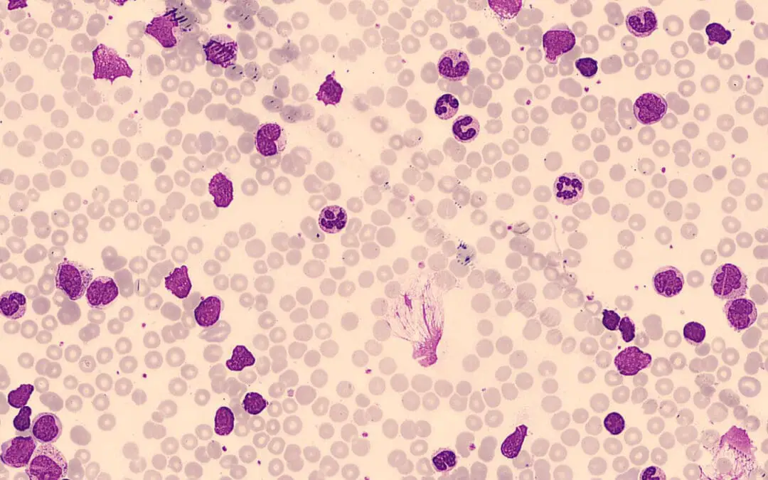
Neutrophilia (High Neutrophils) & Absolute Neutrophilia
Discover causes & implications of high neutrophils, from general neutrophilia to absolute neutrophilia, a key blood cell elevation.

Lymphadenopathy
Lymphadenopathy explained: Learn about swollen lymph nodes, their common causes (infections, inflammation, cancer), key symptoms, diagnostic tests (blood work, biopsy), and available treatment options. Understand when swollen glands are a cause for concern.
Chronic Lymphocytic Leukemia (CLL)
Chronic lymphocytic leukemia (CLL) is a type of cancer that affects white blood cells called B lymphocytes. In CLL, B lymphocytes become abnormal and grow uncontrollably. This can lead to fatigue, swollen lymph nodes, and easy bruising or bleeding. CLL is a slowly progressing cancer affecting mainly the elderly
Acute Leukemia: An Overview
At the heart of acute leukemia lies a disruption of the genetic blueprint, the DNA that carries the instructions for building and maintaining healthy cells. When these instructions become corrupted, through mutations or deletions, the normal development and function of blood cells are derailed.