White Blood Cells

Hemophagocytic Lymphohistiocytosis (HLH)
Unmask the HLH cytokine storm. Master pathophysiology, the HScore, and life-saving management in this high-yield guide for medical learners.
Smoldering Multiple Myeloma (SMM)
Smoldering Multiple Myeloma (SMM) is an asymptomatic precursor to MM, defined by high clonal plasma cell burden and M-protein without MDEs. Risk stratification is key.
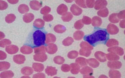
Acute Lymphoblastic Leukemia or ALL
Acute Lymphoblastic Leukemia (ALL) is a cancer of immature white blood cells. Learn its cause, symptoms, and modern treatment, including CAR T-cell therapy.
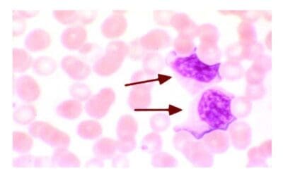
Chediak-Higashi Syndrome
Chediak-Higashi syndrome (CHS) is a rare genetic disorder characterized by oculocutaneous albinism, immune deficiency, and neurological decline.
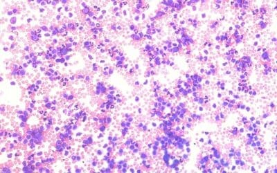
Diffuse Large B-Cell Lymphoma (DLBCL)
Learn about Diffuse Large B-Cell Lymphoma (DLBCL) and its diagnosis, treatment with R-CHOP, and management of relapsed disease.
Mantle Cell Lymphoma (MCL Disease)
Explore the essentials of Mantle Cell Lymphoma (MCL). Learn about its unique genetic features, diagnosis, and current treatment strategies.
Eosinophilic Asthma
Eosinophilic asthma is a severe subtype of asthma, driven by high eosinophil levels. It often resists standard treatments and may not be allergy-related.








